インプラント専門サイト

Webで予約する 052-806-1100

インプラントの

相談、治療なら

お任せください

01

これからの歯科治療

02

ノンメタル機器

03

平針駅徒歩5分

まずは、お気軽にご相談下さい。

当院では、自然の歯を最優先に考え、インプラント治療が必要でない場合は代替治療を推奨します。他院でのインプラント提案に疑問がある場合、まず当院でのカウンセリングを受けていただき、適切な治療法を一緒に探しましょう。当院では、患者様それぞれの状況を理解し、外科手術の必要性を慎重に判断します。詳細な説明とカウンセリングで、安心して治療を受ける選択をお手伝いします。患者様の満足と安心を目指し、質の高い治療を提供いたします。

24時間受付中
Webで予約する
お電話でも承ります
052-806-1100

Results

当院の実績

当院の実績は下記の通りです。

年間通院人数

1月1,240人/2月1,174人/3月1,289人/4月1,260人/5月1,143人/6月1,286人/7月1,362人/8月1,229人/9月1,394人/10月1,472人/11月1,365人/12月1,513人(2023年度 自社調べ)

口コミ平均

2023年度 Googleマイビジネス

インプラント治療数

2015年2本/2016年8本/2017年10本/2018年12本/2019年11本/2020年22本/2021年34本/2022年41本/2023年39本(累計本数 自社調べ)

当院について About

01 心から安心・リラックスできる総合的なケア

当院は心と体のケアに注力。自然の眺め、気軽な会話、そして徹底した衛生管理で、安心・リラックスを実現。安全と誠実が約束された快適な診療空間で、あなたの健康を最優先に考えます。

診察室 当院の診察室は全て完全個室なのでほかの患者さまを気にすることなく受診いただけます。診療室の窓からは植栽が見え、緊張する治療中もリラックスできるように配慮しました。

受付 初回の歯科医院訪問は緊張するもの。座って話せるローカウンターで、リラックスした会話ができるよう受付設計に工夫しました。

待合室 自然光とアロマで心地よく、ソファでリラックスできます。病院らしくない明るい空間です。

消毒・滅菌室 衛生面に力を入れ、滅菌と清潔な診療器具で安全・安心を実現。消毒液の匂いにも配慮しています。

02 これからの歯科医療の追求

現代の歯科医療は進化しており、痛みが少なく、効果的な治療が可能です。当院では、医療機器を厳選して採用し、治療の質を高めています。短期間での効果を実感できるよう工夫しています。

2016年式デジタルCT

当院では安全な治療、正確な診断を実現するために、歯科用デジタルCTを導入しております。既存のレントゲン画像は2次元(平面)であるため、画像上の重なりや骨の厚み、正確な顎の骨の中の状態を把握することが困難でした。 しかし、CTレントゲンは3D(立体的)での画像で確認できるため、既存の平面レントゲン画像に比べ、より豊富な情報を取得できるようになったのです。 従来では確認できなかった部位まで把握して診断ができるため、治療の安全性や診断の精度が格段に向上します。 インプラントの治療計画の立案や難しい抜歯での使用にとどまらず、今後の歯科診療において、治療の安全性と確実性を向上させるために不可欠なものとされています。 また、治療の説明というのは、患者さんにとって分かりにくいものですが、ご自身の顎の状態を3D画像でご覧いただくと、平面の画像をご覧いただいたときよりもイメージがしやすいので分かりやすく、安心できると思います。 当院では撮影したCT画像をチェアサイドで見ることもできますので、よりわかりやすくご自身の今の状態を確認することができます。

マイクロスコープ(歯科用顕微鏡)

当院では現在マイクロスコープ(歯科用顕微鏡)を用いた治療を行っております。 これにより精度の高い診断や治療を患者様にご提供する事が可能となりました。 マイクロスコープ(歯科用顕微鏡)は、日本全国の歯科医院で5%前後しか導入されていません マイクロスコープ(歯科用顕微鏡)は肉眼の約20倍以上の拡大率を可能にし、従来人間の目で認識する事が難しかったものうを見ることが可能です。現在、心臓外科や眼科の細かい手術で使用されている医療用顕微鏡です。 歯科領域でマイクロスコープ(歯科用顕微鏡)を使用すると肉眼では見ることが不確実となる部位(根管の内部、歯のヒビなど)の確認できなかった原因を見つけることができ、より効果的な治療法をご提案できると思います。われわれ歯科医が対象とするものは、小さな歯、そしてその中に通っているさらに小さな歯の神経、血管です。これらは、脳や心臓の血管と同じくらい細かな領域です。 マイクロスコープ(歯科用顕微鏡)によってより繊細で丁寧な治療が可能となり、救うことができる歯や歯周組織が少しずつ増えてきています。

高圧蒸気大型滅菌器 オートクレーブ

安全・安心の消毒・滅菌システム フルオート高圧蒸気滅菌器です。121℃から135℃の超高温により、全ての細菌や病原菌などを死滅させることができる機械です。 患者さんごとに使用します金属性や耐熱の検査器具、治療器具は全て滅菌をいたします。ご安心ください。「安全に!より清潔に!そしてより誠実に!」

03 資格・表彰

当院の院長は、患者様に寄り添ったオーダーメイドの治療を提供するために、高度な専門性と豊富な経験を持っています。数々の資格と受賞歴がその証です。こちらでは院長が有する資格やこれまでの受賞歴について詳しくご紹介します。

第104回アメリカ歯周病学会共催日本臨床歯周病学会・日本歯周病学会にてポスターセッション最優秀賞受賞

 

「PAFの会ヨクナールミーティング」学会発表

 

「SJCD若手例会 栄3丁目文献抄読会」学会発表

 

「Tokai Next Generation」学会発表

 

「日本顎咬合学会 本大会 2011年,2012年」学会発表

 

04 メディア実績

院長の専門知識は多くのメディアでも高く評価されています。テレビ、雑誌、オンラインメディアなど、幅広いプラットフォームでの露出が当院の信頼性と専門性の証です。院長の主なメディア実績をご紹介します。

  • 書籍「プラスワン思考」出版Amazon5部門にて1位獲得
  • 日本歯科新聞 インタビュー記事掲載「著者に聞く」
  • WHITECROSS講演会登壇 「働きがいのある歯科医院の作り方」
  • 第6回Greater Nagoya Dental Meetingアライナーセッション座長
  • 第7回Greater Nagoya Dental Meeting 矯正セッション座長

あなたの歯は大丈夫ですか?

老後に後悔しないために知ってほしいこと

40代のうちにメンテナンスしておくべきだった体の部位は

  • 下半身

過半数が「歯」と答える

60歳以上の男性120人に行ったアンケート結果です。 様々な体の部位への後悔が寄せられていましたが、中でも64人が回答した断トツ1位が「歯」でした。

※円グラフは、2018年1月号にプレジデント社が行ったアンケート結果です。

もっと早く歯医者に行っておけばよかったと後悔した人数

  • 歯科検診
  • 歯石取り
  • ホワイトニング
  • 親知らず
  • 矯正

日本人の4人に3人が後悔

もっと早く歯医者に行っておけばよかった… 日本人の4人に3人が後悔 。もっと早くから歯の健診や治療をしておけばよかったと、全体の4人に3人(75.7%)が後悔。 後悔しているのは男性より女性に多く、女性は年齢とともに50代後半をピークに年々上昇。

歯周病が全身に及ぼす影響についてご存じですか?

  • 透析
  • 失明
  • 脳卒中
  • 認知症

身体の健康はお口から

歯周病の予防・治療を行うことで、全身の様々な病気のリスクを下げることが可能です。日々の歯磨き・口腔ケアを見直し全身の健康につなげましょう。これらを予防・管理することは、メタボリック症候群や心臓病、糖尿病などの深刻な疾患のリスクを減少させます。口腔内の健康状態は全身の健康状態を反映し、適切な口腔ケアは全体的な健康管理と疾患予防の重要な一環です。早期の対策と定期的なケアで、より健康な生活を実現できます。

透析について

研究により、重度の歯周病が慢性腎臓病や透析患者の健康リスクを増加させる可能性が示されています。歯周病は炎症と全身の健康状態に影響を与え、腎機能の低下に関連することがあるため、透析患者においては特に口腔ケアの重要性が強調されていす。

失明について

2016年の研究で、歯周病や歯の喪失が特に日本人に多い正常眼圧緑内障のリスクを1.45倍から1.85倍高めることが示され、口腔内の炎症や細菌増殖が視神経に影響し緑内障発症に寄与する可能性が指摘されています。

脳卒中について

歯周病による炎症が血管の内壁に影響を与え、血栓が形成されやすくなることがあります。また、歯周病は血圧の上昇や糖尿病のリスク増加とも関連しており、これらはいずれも脳卒中のリスクを増加させる要因です。

認知症について

歯周病は、細菌の毒素が血流を介して脳に達することで、神経炎症を引き起こし、神経細胞の損傷や死を引き起こす可能性があります。これが、認知機能の低下やアルツハイマー型認知症などの形で現れることがあります。

安心して下さい。大丈夫。

治療や老後の健康に不安を感じられているかもしれません。どうぞご安心ください。当院では、お一人おひとりに合わせた、安全で適切な治療を提供しています。私たちは、口腔の健康が全体的な健康に与える影響を深く理解しており、そのリスクを予防し、管理するための総合的なケアを行っています。患者様の健康と安全を守ります。一緒により良い未来を築きましょう。

治療の流れ Flow

歯科診療の中でも外科的な手術を伴うインプラントは、治療を踏み切るのにためらいを感じる方も多いです。また、治療を始めたいと思っても断られてしまうケースもあります。信頼できるクリニックやドクターを見つけ、「ここなら」と思える場所を見つけることは、治療中はもちろん、後悔しないために非常に重要です。
当院では、カウンセリングから検査・診断、治療計画の策定、手術、そしてメンテナンスに至るまで、患者様が"痛くない 怖くない"と感じ、安心した治療を受けられる環境を整えています。患者様一人ひとりの状況に合わせた治療を提供し、心地よく治療を受けられるよう努めています。

step 1

予約受付  

ご予約はお客様のご都合に合わせて柔軟に対応いたします。当院では、患者様一人ひとりにあわせた治療を準備し、快適で安心感のある治療体験を提供することをお約束します。

背景
step 2

検査・診断  

ご予約はお客様のご都合に合わせて柔軟に対応いたします。当院では、患者様一人ひとりにあわせた治療を準備し、快適で安心感のある治療体験を提供することをお約束します。

背景
step 3

カウンセリング  

インプラントや口腔治療に関するご質問やご不安があれば、カウンセリングでお気軽にご相談ください。当院では、各患者様の個別のニーズに合わせて、治療の選択肢を詳しくご説明し、患者様に寄り添った解決策を一緒に見つけ出します。差し歯やインプラント、自然な歯の保存についても、わかりやすくご案内いたします。

背景
step 4

治療  

当院の治療は、患者様の快適さを最優先に考えています。"痛くない""怖くない"治療を提供するためのひとつとして、痛みやストレスをほとんど感じることなく手術を受けていただける「静脈内鎮静法(点滴麻酔)」にも対応しています。患者様一人ひとりの口腔の健康状態に合わせた最適な治療を行い、安心安全はもちろん、快適かつ効果的な結果を目指します。

背景
step 5

メンテナンス  

治療後のメンテナンスは、長期的な口腔健康と治療の成功を保証するために不可欠です。定期的なチェックアップとプロフェッショナルなケアにより、インプラントも自然な歯も最適な状態を維持できるようサポートします。当院では、各患者様に合わせた個別のメンテナンスプランを提供し、健康な口内環境の維持します。

背景

料金表 Price

当院のインプラント治療に関する料金体系は、透明性と公平性を心掛けています。ここでは、一般的な料金表をご紹介します。私たちは、患者様が治療についての決断を下す際に、費用面での不安を最小限に抑えられるよう、明瞭かつ包括的な情報提供に努めています。詳しい内容は、無料カウンセリングでご相談ください。

治療費用

骨造成が必要な複雑な症例、抜歯や歯周治療が必要なケース、または審美性の向上をご希望の場合など、治療によっては追加の費用が発生することがあります。

インプラント治療

¥528,000円〜¥715,000円(税込)

保険 あり

保証 5年

インプラント治療費用には、CT撮影料、診査診断料:30,000円、1次オペ+2次オペ:300,000円~600,000円、上部構造物:150,000円
をはじめ、必要な薬剤、保証料、などが含まれています。

  • 保証は当院で口腔内の治療を全て完了し、推奨する間隔でのメインテナンスや安定期治療を受診している方に限ります。
  • 医療費控除について: 当院での治療費は、一定の条件下で医療費控除の対象となる可能性があります。
  • また、保険適用の可否も症状や治療内容により異なるため、詳しくはスタッフまでお問い合わせください。
  • 資料をご用意しておりますので、気軽にお尋ね下さい。

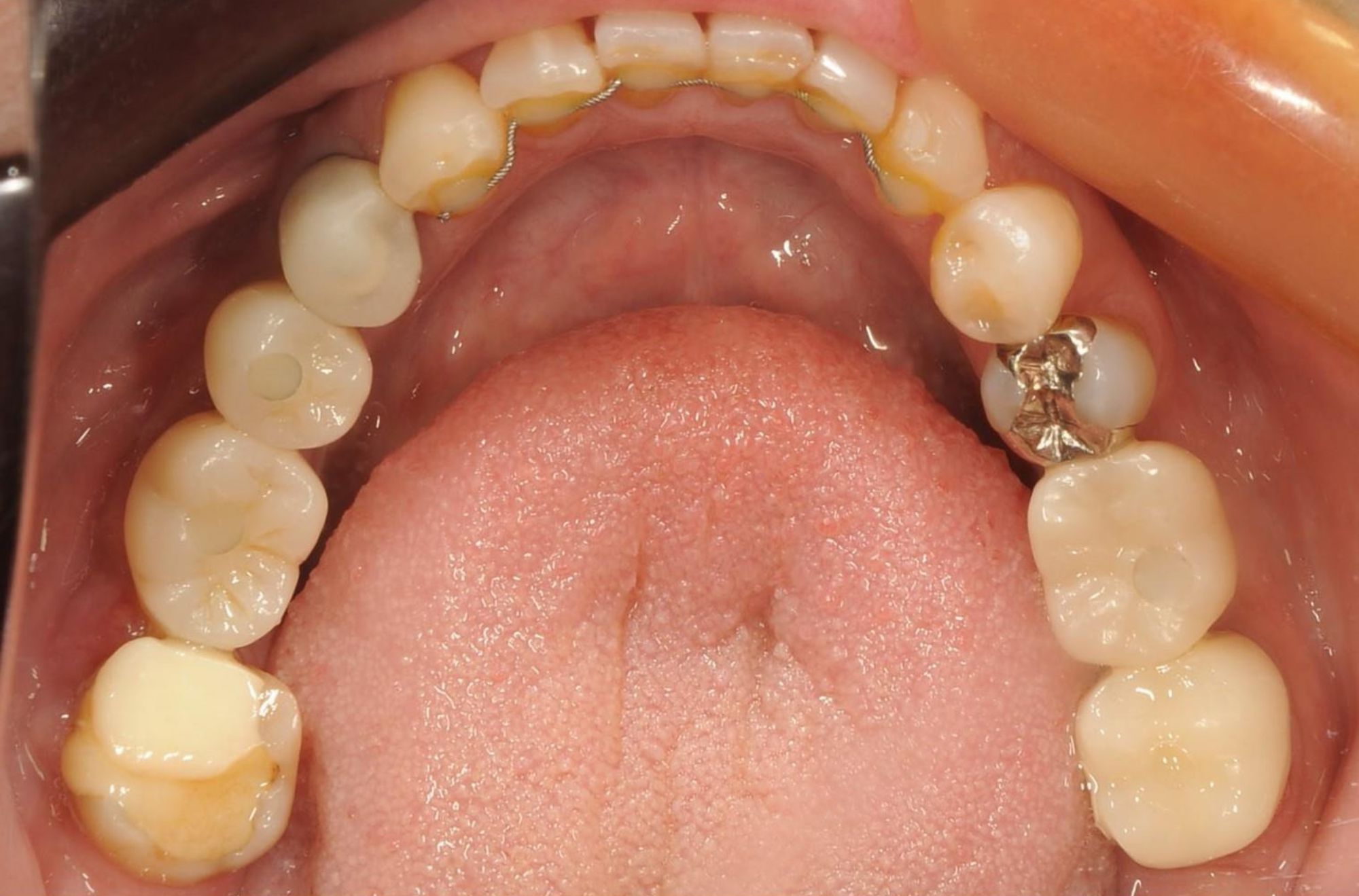
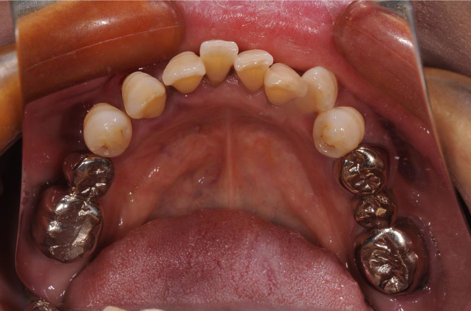
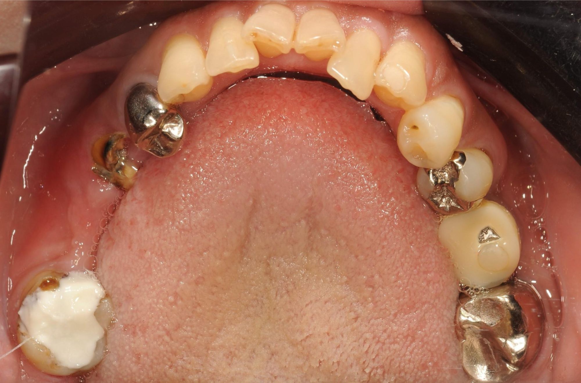
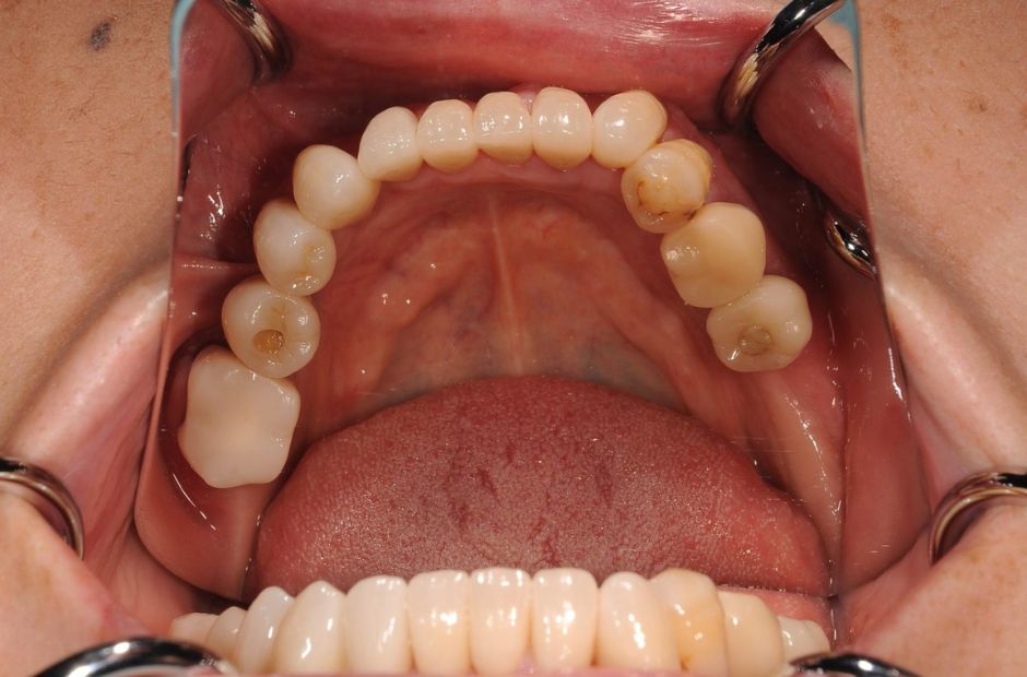
Case

当院のインプラント治療例

インプラント治療は、自然な歯を維持することが不可能な場合に、患者様の口腔機能と美観を回復するための重要な手段のひとつです。私たちは、患者様の状況に合わせた治療計画を提供し、自然な歯の代替としてのインプラントの役割を明確にします。症例の治療期間・回数は、症状や状態によって変わる場合があります。

case.01

インプラントで口腔機能の改善

中年の患者様がインプラント治療を希望し来院されました。数本の歯を失っていたため、インプラントを用いて噛む力と審美性を回復しました。治療により、患者様は食事の楽しみを取り戻し、自信を持って笑顔を見せるようになりました。

case.02

差し歯とインプラントの治療

若年の患者様が前歯の審美性について相談に来られました。差し歯とインプラントの組み合わせにより、自然で美しい笑顔を実現しました。患者様は見た目の改善と機能性の向上に大変満足されました。

Purpose

より良い治療のための3つの柱

当院では、インプラント治療の質と患者様の満足度を高めるために、3つの重要な柱を設けています。第一に、インプラント治療では、豊富な経験と高い専門性を持つ医師が患者様一人ひとりの状況に合わせた治療を行います。次に、"痛くない" "怖くない"治療を通じて、患者様が快適な治療体験を得られるよう努めます。最後に、デンタルサポートと助成金により、治療費の負担を軽減し、経済的な不安を和らげることを目指しています。これらの柱は、患者様が安心して最高水準の治療を受けられる環境を整えるために不可欠です。

for Specialist

専門的なアプローチ

インプラント治療は、特定の専門知識と経験が必要な分野です。当院では豊富な実績を持つ歯科医師が治療を担当します。噛み合わせ専門医がいるので、お口の噛み合わせ等全体をみてインプラント治療をすることが可能。個別のニーズに合わせた治療プランを策定します。そして、当院には歯周病認定医がいるので、インプラント入れた後もしっかりケアをして長持ちさせることが可能です。インプラント治療を受ける際には、その医師の専門性と経験が非常に重要であり、当院では患者様の口腔健康を守るために、最高水準のケアと専門的な治療を提供しています。

for Facility

"痛くない 怖くない”治療

当院では、患者様が安心して治療を受けられるように、"痛みのない"、"恐怖のない"アプローチを採用しています。これを実現するために、先進的な無痛麻酔技術や静脈内鎮静法を用い、治療中の不快感を最小限に抑えています。さらに、高精度な治療計画を立てるために最新の画像診断技術を活用し、治療の精度を高めています。患者様がリラックスして治療を受けられるよう、環境と手法の両面で配慮しています。これにより、患者様は治療中も安心感を持ちながら、高品質な治療を受けることができます。

for Money

デンタルローンも可能

当院では、インプラント治療の費用面についても患者様の負担を軽減するためのオプションを提供しています。デンタルローンの利用を検討される患者様には、柔軟な支払いプランをご案内し、治療費の負担を分散させることが可能です。また、医療費控除の適用についても詳しいアドバイスを提供し、税制上の利点を最大限に活用していただくサポートを行っています。

歯の治療では、歯科選びがとても大切です。
一生モノの歯の健康は、歯科選びから始まります。

歯科選びは、治療の質や結果に大きく影響します。歯科医師の技術や経験、設備の最新性、スタッフの対応などがポイントとなります。信頼できる歯科医院選びで、長期的な歯の健康を守りましょう。

なぜ、あじおか歯科クリニックに
相談する人が増えているの?

痛みや不安を軽減します

患者様に寄り添った治療

当院は「患者様に寄り添った治療」を目指します。全年齢層の口腔健康を、最新の治療技術と徹底した滅菌で守ります。治療前には詳しい説明をし、患者様と家族が安心できるよう心掛けています。無痛治療を重視し、担当制で長期的なケアを提供。患者様一人ひとりに合わせた、質の高い医療とホスピタリティで、痛みの少ない治療を心掛け、安心と笑顔のあるクリニックを目指しています。それぞれの患者様のニーズに応じた、真心のこもった治療を提供することをお約束します。

歯科からQOL向上へ

歯科と医科連携による治療

当院では、歯科と医科の連携により、より高度で総合的なインプラント治療を提供しています。インプラント治療を検討される患者様には、精密な口腔内診断と全身の健康状態の評価を行い、患者様に最適なインプラント材質を選択します。必要に応じて、医科の専門家と連携して全身の健康状態を考慮に入れた治療計画を立案します。当院では、インプラント治療だけでなく、患者様の全身の健康を重視し、一人ひとりのライフスタイルに合わせた治療プランを提案します。これにより、患者様がより健康で快適な生活を送ることができるようサポートします。

豊富な選択肢

幅広い料金設定

「歯科医院に行くとすぐに高いものをすすめられる」という話をよく聞きます。当院では患者様のニーズと予算に合わせた柔軟な治療プランを提供いたします。最初から高額な保険外治療を勧めることはありません。まずは、お口の状態を丁寧に説明し、治療方針に納得いただいた上で選択していただきます。保険内外での治療方法や材料の違いも明確にご説明いたします。当院は、患者様が納得して治療を受けられるよう、最善のケアを提供します。

まずは、お気軽にご相談下さい。

当院では、自然の歯を最優先に考え、インプラント治療が必要でない場合は代替治療を推奨します。他院でのインプラント提案に疑問がある場合、まず当院でのカウンセリングを受けていただき、適切な治療法を一緒に探しましょう。当院では、患者様それぞれの状況を理解し、外科手術の必要性を慎重に判断します。詳細な説明とカウンセリングで、安心して治療を受ける選択をお手伝いします。患者様の満足と安心を目指し、質の高い治療を提供いたします。

24時間受付中
Webで予約する
お電話でも承ります
052-806-1100
背景

インプラント治療への想い Philosophy

確かな技術で笑顔の未来へ

当院では、インプラント治療を通じて、患者様が自信を持って笑顔を取り戻せるよう支援しています。私たちは、治療の質と安全性に最大限の注意を払い、患者様の口腔健康を守ることに尽力しています。インプラント治療は、失われた歯の機能を回復し、日常生活の質を向上させる重要な手段です。私たちの目標は、患者様の口腔健康の向上と、日々の生活における自信と満足を提供することです。

健やかな毎日のために

当院では、インプラント治療が患者様の全体的な健康に与える影響を重視しています。失われた歯の機能を回復することは、噛む能力の向上だけでなく、全体的な健康状態にも寄与します。私たちは、噛む機能の改善を通じて、食事の楽しみや認知機能の保持をサポートし、患者様の生活の質を高めるために努めています。

一人ひとりに合わせたケア

当院では、患者様一人ひとりのニーズに合わせたインプラント治療を提供しています。私たちのアプローチは、単に口腔内の問題を解決することだけでなく、患者様の生活全体にポジティブな影響をもたらすことを目指しています。私たちは、患者様が日々の生活で自信を持って笑顔を見せられるよう、最適な治療計画を立案し、その実施に取り組んでいます。

FAQ

よくあるご質問

インプラントはどのような場合に適していますか?
歯の欠損がある場合や、入れ歯の代替として適しています。ただし、全ての症例に適しているわけではありません。
インプラントの耐久性はどれくらいですか?
インプラントは高耐久性を持ち、適切なケアとメンテナンスを行うことで、多くの場合10年以上持続します。チタン製のインプラントは体内での安定性が高く、長期間にわたって口腔内で機能します。ただし、インプラント周囲の衛生状態を良好に保つことが持続性には重要です。インプラントを維持するためには、定期的な歯科医院での定期検診やクリーニングが必要です。
インプラントは快適ですか?
インプラント治療後、多くの患者は自然な歯に近い快適さを感じます。噛む力が向上し、食事の質が改善されるため、日常生活での快適さが大幅に増します。また、インプラントは口腔内で安定し、入れ歯のような違和感や不快感を引き起こしにくいです。
インプラントが全身健康に与える影響は?どのくらいですか?
健全な噛む力と口腔機能の回復は、消化や栄養摂取の改善に寄与し、全身の健康状態にも良い影響を与えます。また、インプラントによる口腔衛生の向上は、歯周病やその他の全身疾患のリスクを減少させます。適切な口腔ケアと定期的な歯科検診が全身健康の維持に貢献します。
インプラントの取り外しは簡単ですか?
インプラントは永久的な解決策として設計されていますが、必要に応じて調整や修理が可能です。ただし、一度設置されると取り外しは容易ではなく、通常は専門の歯科医師による処置が必要です。インプラントの取り外しや交換は、患者様の口腔健康状態やインプラントの状態に応じて行われます。
インプラントの審美性は長期間維持されますか?
インプラントは高品質の素材で作られており、天然歯に近い見た目を提供します。適切なオーラルケアと定期的な歯科検診により、長期間にわたってその美しさを維持することが可能です。色の変化や摩耗は最小限に抑えられ、数十年にわたって審美性が持続します。 インプラントが周囲の歯と異なる色や形状をしている場合、審美的な問題が発生する可能性があります。 インプラントを維持するため、定期的な歯科医院での定期検診やクリーニングが必要です。
インプラント治療のコストはどの程度ですか?
インプラント治療の費用は、治療が必要な歯の数や使用する材料の種類、必要な追加手術(骨移植など)によって変わります。初期費用は他の歯科治療に比べ高額ですが、長期的な耐久性と機能性を考慮すると、コストパフォーマンスは非常に高いと言えます。具体的な費用はカウンセリング時に詳細をお話致します。
インプラント治療の手術リスクと回復期間はどのくらいですか?
インプラント手術は高度に発展した技術で行われるため、手術リスクは最小限ですが、手術後、腫れや痛み、または不快感が数日から数週間にわたって続く場合があります。 一般的なリスクには、インプラント周囲に組織が膿んだり、臭いがするなど炎症や感染が起こる場合があります。 また、インプラントが入っている周囲の骨が使用されないため、骨が徐々に減少することがあります。 回復期間は個人の体質や健康状態に依存しますが、通常、手術後数日から数週間で日常生活に戻ることが可能です。 インプラント周囲の組織が時間とともに退縮し、インプラント周囲の歯肉の形状が変化することがあります。
インプラント治療に年齢制限はありますか?
基本的に健康な成人であれば年齢は問いませんが、若い患者様では顎の成長が完了していることが条件です。またご高齢の方は全身状態により制限がかかります。
インプラント治療は健康保険の適用はありますか?
一般的にインプラント治療は自由診療となるため、健康保険の適用外です。
インプラント治療後の食事制限はありますか?
治療直後は柔らかい食事をおすすめしますが、回復後は普段通りの食事が可能です。
高齢者にとって、インプラントは咀嚼能力をどのように改善しますか?
インプラント治療は、高齢者の患者においても咀嚼能力を大幅に改善します。自然な歯のような機能を提供することで、食事の際の噛む力を回復し、栄養摂取の改善に寄与します。また、適切な噛む力は顎の骨の健康維持にも重要であり、全体的な口腔の健康を促進します。
高齢者にとってのインプラント治療の安全性は?
高齢者でもインプラント治療は安全に行うことが可能です。治療計画は患者様の全身状態、特に骨密度や他の健康問題を考慮して慎重に作成されます。適切な麻酔方法と精密な手術技術により、手術リスクは最小限に抑えられます。術後の適切なケアと定期的なフォローアップにより、インプラントは高齢者にとっても安全かつ効果的な治療選択肢となります。
高齢者でもインプラント治療は受けられますか?
はい、健康状態が許す限り、年齢に関わらずインプラント治療を受けることが可能です。治療前の詳細な健康チェックとカウンセリングにより、患者様のニーズに合った安全な治療計画を立てます。高齢でも、インプラントによる口腔機能の改善は、生活の質を向上させ、より活動的な毎日をサポートします。
インプラントと自然な歯の保存、どちらが優先されますか?
自然な歯の保存が常に最優先されます。インプラントは、保存が不可能な場合にのみ検討されます。
歯を抜かずにインプラント治療はできますか?
歯を抜かずにインプラントを行うことは通常不可能です。しかし、インプラントは自然な歯の代替として、歯を抜く以外に選択肢がない場合に検討されます。
歯が弱っている場合、どのように治療しますか?
歯が弱っている場合、補強や修復処置を行うことで、歯の機能を回復し保存することが目指されます。
歯周病がある場合、どのように対処しますか?
歯周病の早期治療と管理が重要です。定期的なクリーニングと適切な家庭でのケアで、歯周病の進行を抑え、歯を保護します。
インプラントと自然な歯の間で迷っています。どうすればいいですか?
患者様の口腔健康状態とニーズを詳しく評価した後、最適な治療選択についてご案内致します。
自然な歯をできるだけ長く保つためには、どのような予防策がありますか?
定期的な歯科検診、適切なブラッシングとフロッシング、バランスの良い食生活が自然な歯を長く保つ鍵です。

Initiatives

学びへの取り組み

当院では、患者様によりよい治療を提供するため、日々の研鑽と技術の向上に努めております。

医科歯科連携の強化

お口の健康は全身の健康と密接に関わっています。当院では"医科歯科連携"を積極的に推進しています。これは、口腔内の問題が全身の健康に影響を与えることが科学的に証明されているからです。当院の専門チームは、患者様に最適な治療を提供するために、医科の専門家と連携しています。より効果的な治療と医療費の節約を実現しています。当院が全力でサポートします。

スタッフの研修・資格の強化

当院にはTC(Treatment Coordinator)資格を持つスタッフを置いております。この資格は治療計画や患者様とのコミュニケーションに不可欠です。 TC資格保有者が専門的なアドバイスを提供し、安心して治療を受けられる環境を作っています。これが当院の高評価と信頼の一因となっており、多くの患者様に支持されています。

現代の研究と技術の導入

当院では、現代の研究と技術を日々導入しています。レーザー治療、デジタルレントゲン、高度な診断ソフトウェアなど、先進的な設備を積極的に使用。早期発見と効率的な治療が可能で、患者様の痛みも最小限に。テクノロジーの活用により、治療の質が大幅に向上し、患者様の満足度も高まっています。こちらが当院を選んでいただく理由の一つとなっております。

背景

まずは、お気軽にご相談下さい。

当院では、自然の歯を最優先に考え、インプラント治療が必要でない場合は代替治療を推奨します。他院でのインプラント提案に疑問がある場合、まず当院でのカウンセリングを受けていただき、適切な治療法を一緒に探しましょう。当院では、患者様それぞれの状況を理解し、外科手術の必要性を慎重に判断します。詳細な説明とカウンセリングで、安心して治療を受ける選択をお手伝いします。患者様の満足と安心を目指し、質の高い治療を提供いたします。

24時間受付中
Webで予約する
お電話でも承ります
052-806-1100
背景
052-806-1100

〒470-0126 愛知県日進市赤池町屋下351−1

地下鉄:鶴舞線「平針駅」 徒歩5分 バス:市バス「平針駅バスターミナル」 徒歩5分 日進市内巡回バス くるりんばす 南西コース 「平針北バス停」むかい 駐車場は病院東側メイン駐車場(7台)/病院南側駐車場(3台)/ツルハドラッグ南駐車場(6台)がございます。

診療時間
9:00-17:00 - - -

※休診日 :日・祝日
※受付時間は診療時間の30分前です。
※一部診療のお支払いをクレジットカードでも対応しております。
 対応できる診療内容についてはお問い合わせください。